Dato necesario

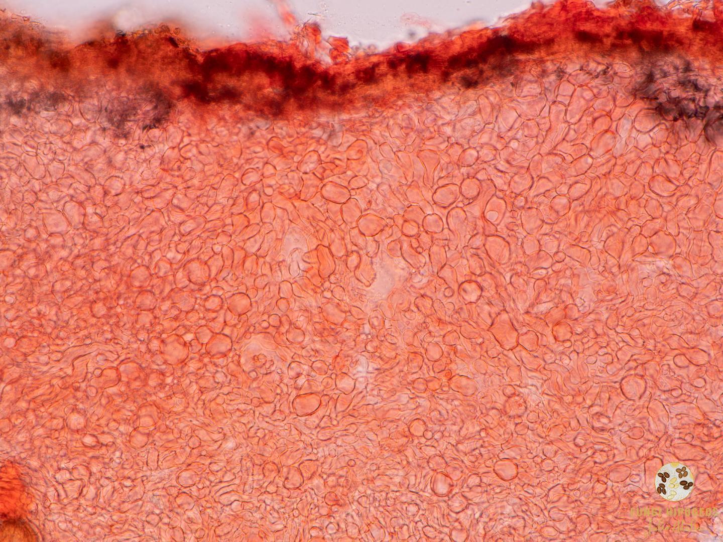
Tuber gennadii

Tuber gennadii (Chatin) Pat. , Toro. Soc. mico. P. 19 (3): 255 (1903)

 

Imagen de portada 732
Imagen de portada 733
Imagen de portada 734
Imagen de portada 735
Imagen de portada 736
Imagen de portada 737
Imagen de portada 738
Imagen de portada 739
Imagen de portada 740
Imagen de portada 741

Clasificación: Tuberaceae, Pezizales, Pezizomycetidae, Pezizomycetes, Pezizomycotina, Ascomycota, Fungi

Subir arriba

ATENCIÓN: Esta web no utiliza cookies excepto la sesión de usuario (si procede), no guarda información alguna sobre el visitante, pero cuenta con COOKIES DE TERCEROS (Facebook y Google) para hacer funcionar herramientas como los formularios de contacto, widgets y mapas. Si no acepta estas cookies de terceros, estas herramientas no funcionarán.