Dato necesario

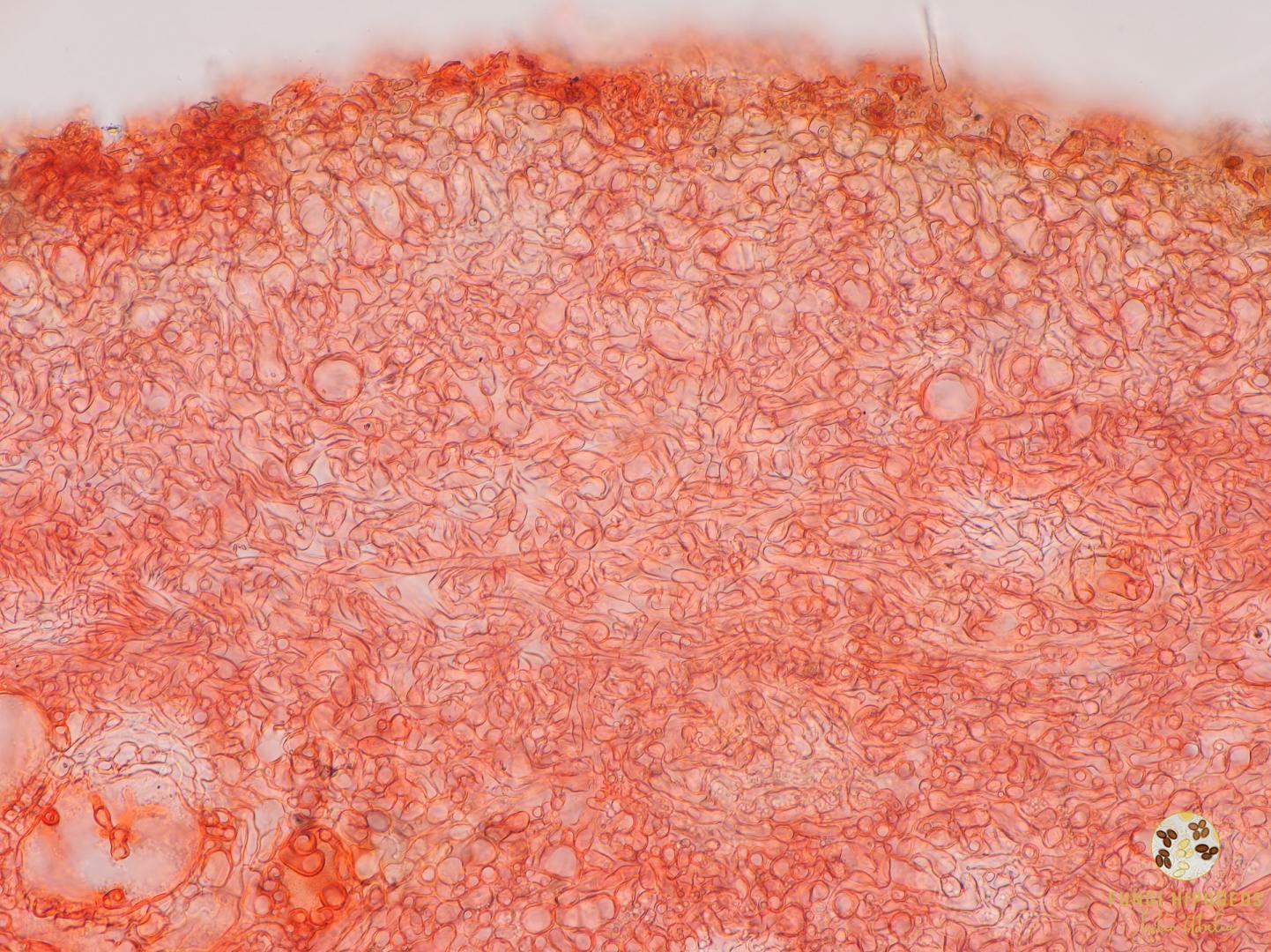
Tuber borchii

Tuber borchii Vittad. , Monogr. Tuberac. (Milán): 44 (1831)

 

Imagen de portada 718
Imagen de portada 719
Imagen de portada 720
Imagen de portada 721
Imagen de portada 722

Clasificación: Tuberaceae, Pezizales, Pezizomycetidae, Pezizomycetes, Pezizomycotina, Ascomycota, Fungi

Subir arriba

ATENCIÓN: Esta web no utiliza cookies excepto la sesión de usuario (si procede), no guarda información alguna sobre el visitante, pero cuenta con COOKIES DE TERCEROS (Facebook y Google) para hacer funcionar herramientas como los formularios de contacto, widgets y mapas. Si no acepta estas cookies de terceros, estas herramientas no funcionarán.