Dato necesario

Tefezia alsheikii

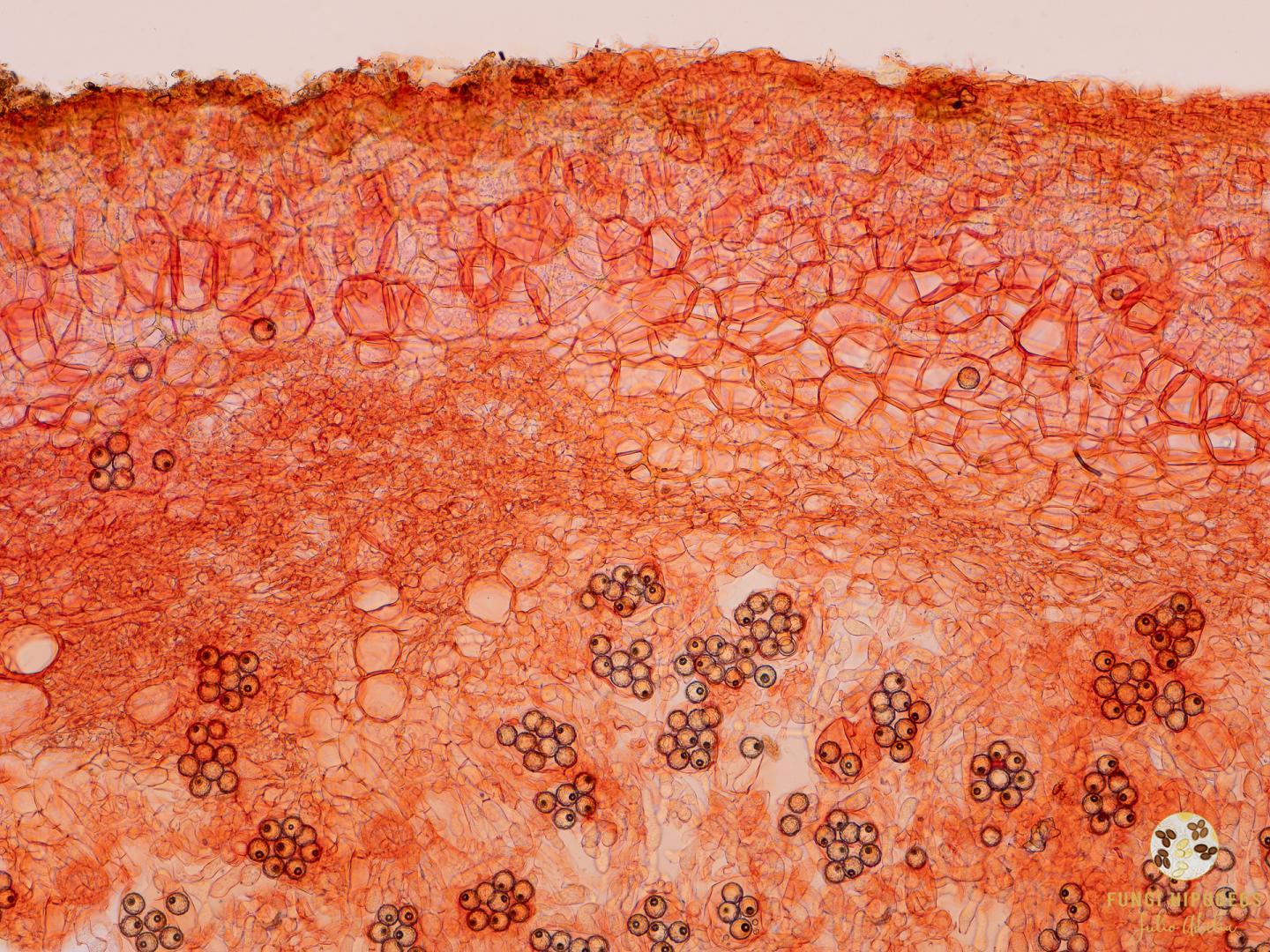
Terfezia alsheikhii Kovács, M.P. Martín & Calonge, in Kovács, Balázs, Calonge & Martín, Mycologia 103(4): 848 (2011)

Imagen de portada 806
Imagen de portada 807
Imagen de portada 808
Imagen de portada 809
Imagen de portada 810

Clasificación: Pezizaceae, Pezizales, Pezizomycetidae, Pezizomycetes, Pezizomycotina, Ascomycota, Fungi

Subir arriba

ATENCIÓN: Esta web no utiliza cookies excepto la sesión de usuario (si procede), no guarda información alguna sobre el visitante, pero cuenta con COOKIES DE TERCEROS (Facebook y Google) para hacer funcionar herramientas como los formularios de contacto, widgets y mapas. Si no acepta estas cookies de terceros, estas herramientas no funcionarán.