Dato necesario

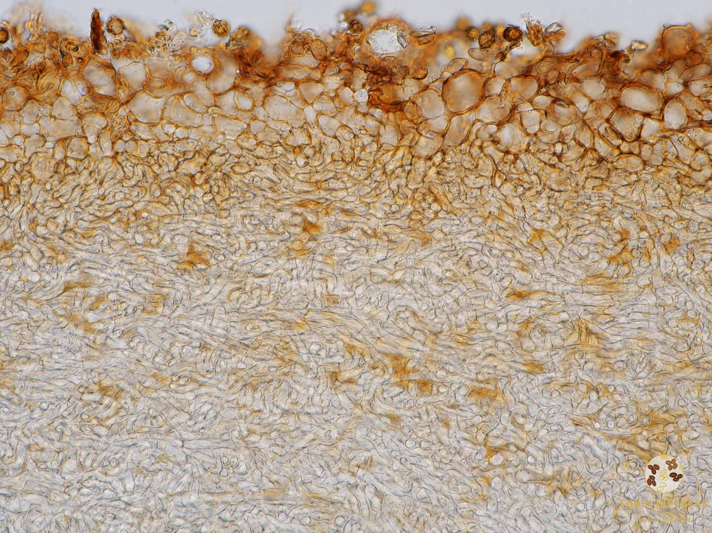
Hydnotrya tulasnei

Hydnotrya tulasnei (Berk.) Berk. y Broome , Ann. Mag. nat. Hist. , Ser. 1 18 : 78 (1846)

 

 

Imagen de portada 238
Imagen de portada 237
Imagen de portada 239
Imagen de portada 240
Imagen de portada 241
Imagen de portada 242

Discinaceae, Pezizales, Pezizomycetidae, Pezizomycetes, Pezizomycotina, Ascomycota, Fungi

Subir arriba

ATENCIÓN: Esta web no utiliza cookies excepto la sesión de usuario (si procede), no guarda información alguna sobre el visitante, pero cuenta con COOKIES DE TERCEROS (Facebook y Google) para hacer funcionar herramientas como los formularios de contacto, widgets y mapas. Si no acepta estas cookies de terceros, estas herramientas no funcionarán.