Dato necesario

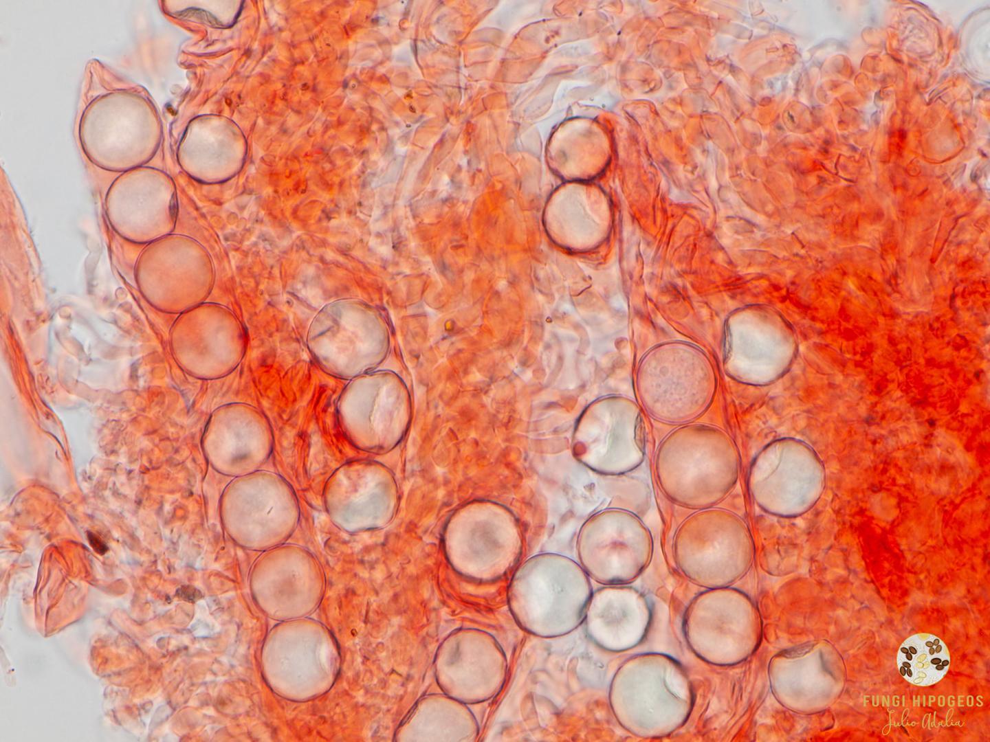
Hydnocystis bombycina

Stephensia bombycina (Vittad.) Tul. & C. Tul. , Hongos hipog. : 129 (1851)

 

Imagen de portada 589
Imagen de portada 588
Imagen de portada 590
Imagen de portada 591
Imagen de portada 592

Clasificación: Pyronemataceae, Pezizales, Pezizomycetidae, Pezizomycetes, Pezizomycotina, Ascomycota, Fungi

Subir arriba

ATENCIÓN: Esta web no utiliza cookies excepto la sesión de usuario (si procede), no guarda información alguna sobre el visitante, pero cuenta con COOKIES DE TERCEROS (Facebook y Google) para hacer funcionar herramientas como los formularios de contacto, widgets y mapas. Si no acepta estas cookies de terceros, estas herramientas no funcionarán.