Dato necesario

Gautieria violascens

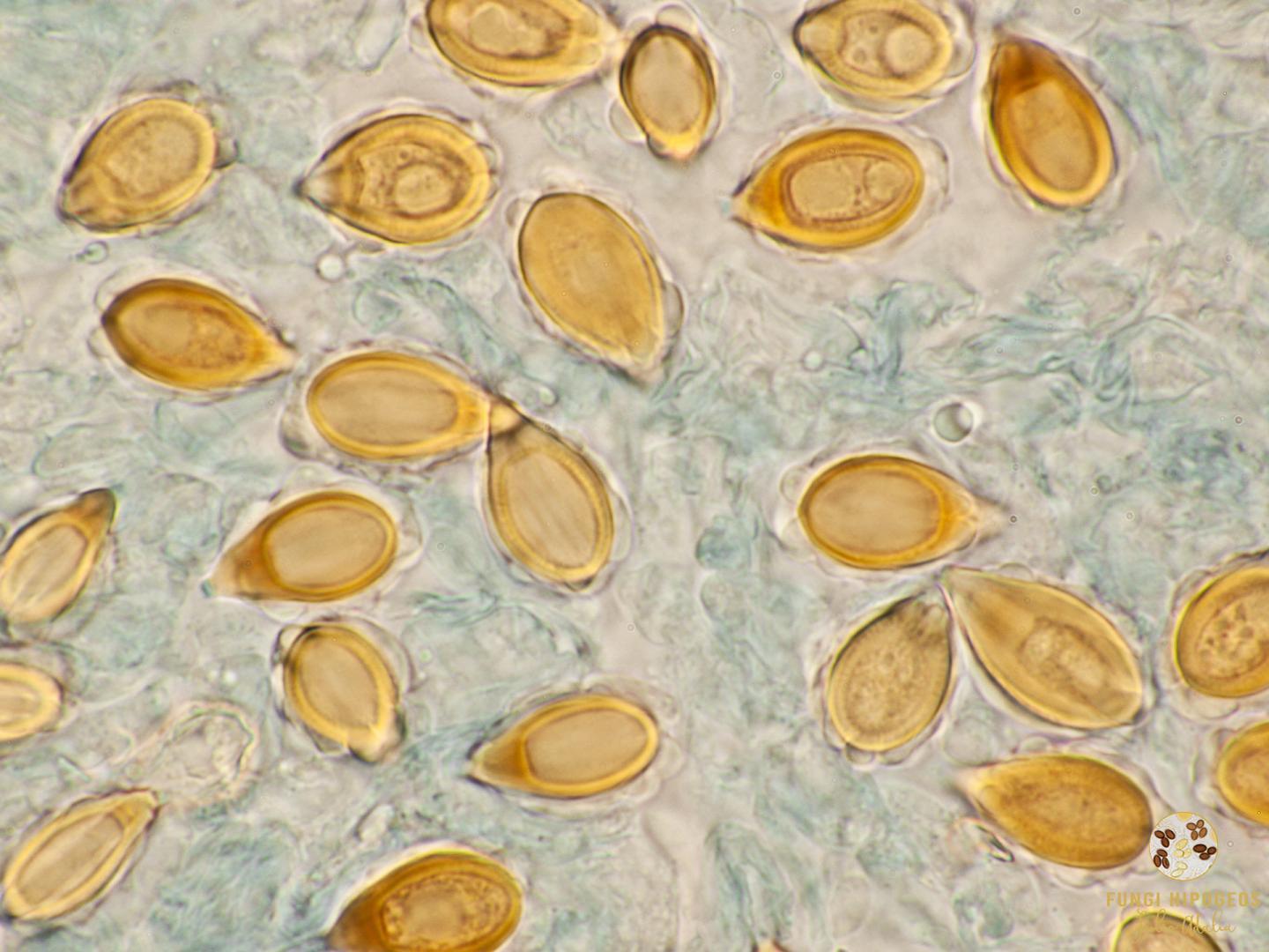
Gautieria violascens J.M. Vidal, Cabero & Fern. Rodr. , en Vidal et al., Persoonia 50 : 102 (2023)

Imagen de portada 1079
Imagen de portada 1080
Imagen de portada 1081
Imagen de portada 1083
Imagen de portada 1082
Imagen de portada 1099
Imagen de portada 1098
Imagen de portada 1085
Imagen de portada 1086

Clasificación: Gomphaceae, Gomphales, Phallomycetidae, Agaricomycetes, Agaricomycotina, Basidiomycota, Fungi

Subir arriba

ATENCIÓN: Esta web no utiliza cookies excepto la sesión de usuario (si procede), no guarda información alguna sobre el visitante, pero cuenta con COOKIES DE TERCEROS (Facebook y Google) para hacer funcionar herramientas como los formularios de contacto, widgets y mapas. Si no acepta estas cookies de terceros, estas herramientas no funcionarán.