Dato necesario

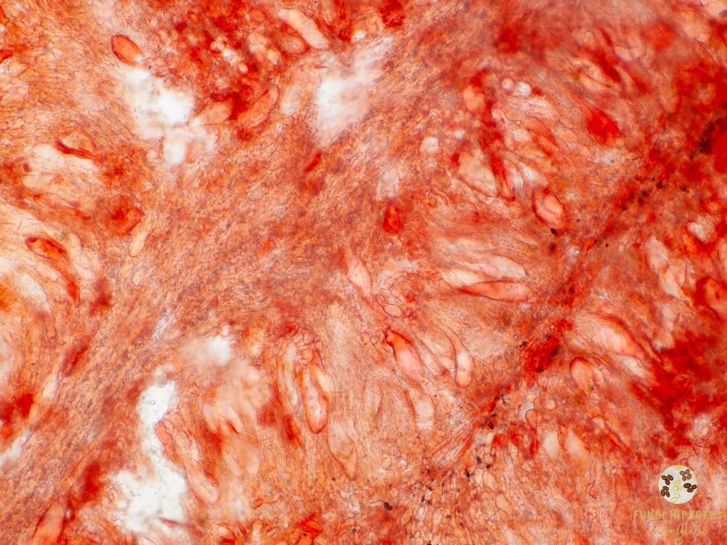
Choiromyces magnusii.

Choiromyces magnusii (Mattir.) Paol.Syll. fung. (Abellini) 8: 901 (1889)

Imagen de portada 642
Imagen de portada 643
Imagen de portada 644
Imagen de portada 645
Imagen de portada 646
Imagen de portada 647

Clasificación: Tuberaceae, Pezizales, Pezizomycetidae, Pezizomycetes, Pezizomycotina, Ascomycota, Fungi

Subir arriba

ATENCIÓN: Esta web no utiliza cookies excepto la sesión de usuario (si procede), no guarda información alguna sobre el visitante, pero cuenta con COOKIES DE TERCEROS (Facebook y Google) para hacer funcionar herramientas como los formularios de contacto, widgets y mapas. Si no acepta estas cookies de terceros, estas herramientas no funcionarán.