Dato necesario

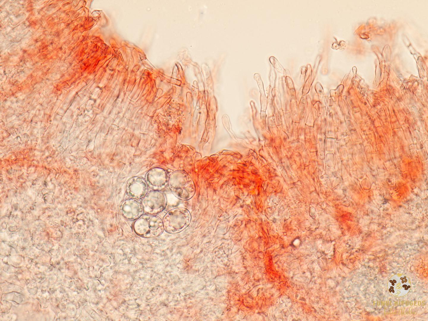
Balsamia polisperma

Balsamia polysperma Vittad. , Monogr. Tuberac. (Milán): 31 (1831)

Imagen de portada 310
Imagen de portada 311
Imagen de portada 312
Imagen de portada 313

Helvellaceae, Pezizales, Pezizomycetidae, Pezizomycetes, Pezizomycotina, Ascomycota, Fungi

 

Subir arriba

ATENCIÓN: Esta web no utiliza cookies excepto la sesión de usuario (si procede), no guarda información alguna sobre el visitante, pero cuenta con COOKIES DE TERCEROS (Facebook y Google) para hacer funcionar herramientas como los formularios de contacto, widgets y mapas. Si no acepta estas cookies de terceros, estas herramientas no funcionarán.